Пациент без пульса готовится к выписке из Мариинской больницы

Фото: пресс-служба комитета по здравоохранению Петербурга

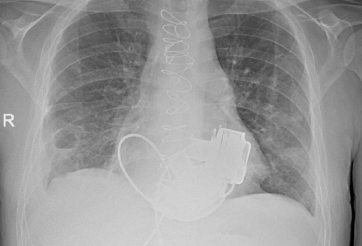
Сложнейшая операция продолжалась примерно 4 часа

Уникальный пациент, которому впервые в РФ имплантировали сразу два искусственных желудочка сердца, готовится к выписке из Мариинской больницы, сообщает пресс-служба комитета по здравоохранению Петербурга.

«В конце ноября 2025 года ему впервые в России имплантировали сразу два искусственных желудочка сердца - левое и правое», - рассказали в ведомстве.
Не пропустите

36-летнего петербуржца госпитализировали с тяжелейшими диагнозами – кардиомиопатией и терминальной сердечной недостаточностью. Показатели работы сердца были такими, будто человек уже не жив, а мертв, пишет «ФедералПресс».

«Главный врач больницы Игорь Реутский принял решение о проведении непростого оперативного вмешательства - имплантации искусственных желудочков», - говорится в распространенном сообщении.

Сложнейшая операция продолжалась порядка четырех часов. Самым трудным было синхронизировать работу двух искусственных желудочков.

Ранее Online47 писал, что в Ленинградской областной клинической больнице врачи подарили пациенту второй шанс на жизнь, проведя сложнейшую операцию в канун новогодних праздников. 45-летнему Сергею диагностировали рак легкого на поздней стадии, когда опухоль распространилась на левое предсердие и полностью перекрыла бронх, что привело к образованию крупного абсцесса.

Фото: пресс-служба комитета по здравоохранению Петербурга